Красивая улыбка – это не только здоровые зубы, но и здоровый пародонт. От состояния этого комплекса тканей, куда входят десна, корень, костная лунка и связки зуба, зависит жизнь зубов. Ведь именно пародонт удерживает, защищает и питает их. Заболевания пародонта нередко приводят к потере даже абсолютно здоровых зубов.
Белоснежные зубы — только одна половина составляющей «голливудской улыбки», вторая приходится на ровный зубной ряд. Ведь правильный прикус не только дает преимущество с эстетической точки зрения, но также является залогом здоровья зубов и их функциональности.
Стоматологическая клиника «НЕО СМАЙЛ» проводит работы по изготовлению имплантов зубов взамен утраченных. Эта технология позволяет восстановить прежний вид челюсти пациента путем установки на пустующем месте зубной коронки на титановом корне, вживленном в костные ткани.
Источником зубной боли могут быть не только зубы, но и десны и даже лицевые нервы. Потому при подборе способа устранения проблемы специалисты клиники проводят точную диагностику. Для этого используются точнейшее современное оборудование и инструменты зарубежного производства.
В клинике «НЕО СМАЙЛ» вы сможете пройти процедуру отбеливания зубов и вернуть зубам эстетичный внешний вид и здоровую белизну, избавившись от зубного камня. Наши специалисты работают с современным европейским оборудованием и качественными материалами, благодаря чему процесс отбеливания полностью безопасен для эмали зубов и не причиняет дискомфорт
Вы хотите, чтобы ваша улыбка свидетельствовала о здоровье и благополучии, а визиты к стоматологу были приятными и незатратными? Это реально. Уделяйте своим зубам внимание систематически и пользуйтесь нашими бесплатными профессиональными консультациями.
Красивая и лучезарная улыбка – признак здоровья и благополучия. Когда с зубами все в порядке человек более уверенно чувствует себя в разговоре с собеседником, что является важным условием ведения любых деловых переговоров. Соответственно, люди с красивыми зубами быстрее продвигаются по лестнице успеха, чем те, у которых не часто находится время и желание посетить стоматологию в Химках для профилактического осмотра и решения различных проблем ротовой полости.
Стоматологическая клиника «НЕО СМАЙЛ» предлагает бесплатную консультацию квалифицированных стоматологов, после которой у пациента не останется никаких сомнений в целесообразности проведения той или иной процедуры, направленной на сохранение здоровой улыбки. В своей работе специалисты нашего семейного центра используют современный инструментарий и высокотехнологичное оборудование, что делает возможным проведение лечебных и профилактических процедур на высоком уровне.
Как часто среди близких и сослуживцев вам доводилось видеть людей, изнывающих от нестерпимой зубной боли? А сколько историй о посещении стоматологической поликлиники вы выслушали впоследствии? А ведь, на самом деле, столь плачевных последствий могло бы и не быть, если бы человеку вовремя была недорого и качественно оказана стоматологическая помощь. Чтобы избежать длительного и малоприятного лечения зубов, нужно в обязательном порядке раз в полгода посещать стоматолога для профилактического осмотра. Наши специалисты предоставляют услуги в области эстетической стоматологии, хирургии и имплантации, протезирования, а также всегда готовы помочь маленьким пациентам детской стоматологии - нашим детям. Наш детский врач обладает огромным опытом общения с детьми. Доверьте свою улыбку нашим специалистам, и вы никогда не усомнитесь в своем решении!
Вы поздно узнали о возможности совершенно бесплатно пройти профилактическое обследование в стоматологической клинике «НЕО СМАЙЛ», и момент, когда можно было бы обойтись минимальным вмешательством, безвозвратно упущен? Зуб уже имеет заметные недостатки? В своей работе наши врачи-стоматологи применяют высокоэффективные лечебные методики, которые позволяют справиться с любыми стоматологическими проблемами. Посещение недорогой стоматологии в Химках станет отличной возможностью:
Низкие цены, масса положительных отзывов, скидки и акции – эти и многие другие положительные моменты делают выбор в пользу посещения нашей клиники очевидным!
Для максимального удобства наших клиентов мы создали сайт семейной стоматологии «НЕО СМАЙЛ» в Химках, где в любое время можно получить актуальную информацию о работе центра и услугах, которые наша стоматологическая клиника готова оказать по записи и в экстренных случаях.
Здесь мы планируем размещать информацию об акциях и специальных предложениях, с учетом которых стоматологическая помощь в отдельных случаях будет еще более доступной!
Стоматологическая клиника «НЕО-СМАЙЛ» в городе Химки – место, где вам всегда готовы помочь в поддержании здоровья ротовой полости и зубного ряда. Услугами наших специалистов также могут воспользоваться жители Куркино и других подмосковных городов.
Чтобы прямо сейчас записаться на прием к специалисту, свяжитесь с нашим администратором, воспользовавшись информацией со страницы контактов, где есть телефон и адрес нашей клиники!


30, 31 декабря – Выходной день
1, 2 января - Выходной день
3-го Января 2019 - приём ведет Стуликова Яна Вячеславовна, врач стоматолог, терапевт-ортопед; Дружинец Анна Никитична, хирург.
...
На сайте нашей клиники появился новый раздел — «Справочник болезней». В нем собрана информация об основных заболеваниях зубов и полости рта, с которой вы можете ознакомиться, выбрав соответствующую категорию справочника.
Для повышения качества диагностики, терапии и работы со сложными эндодонтическими случаями клиникой приобретен дентальный микроскоп. Методика лечения под микроскопом — это достаточно новое веяние в стоматологии, тем не менее уже успевшее найти применение практически во всех ее областях. Аппарат может применяться как для диагностики, так и непосредственно для терапии.
«НЕО СМАЙЛ» предлагает использовать капы «Инвизилайн» для корректировки положения кривых и скрученных зубов, устранения щелей между ними, исправления неправильного прикуса. Элайнеры можно изготовить как по индивидуальному эскизу, так и использовать стандартные комплекты.
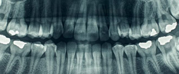
Теперь в нашей клинике можно сделать панорамный снимок зубов на аппарате последнего поколения ORTHOPHOS XG 3. Изображения будут доступны сразу после процедуры в цифровом и печатном вариантах.